Interdisciplinary Patient Care

Breathing Wellness - TMJ Function - Dental Health

Aligner Therapy, TMD Management, Dental Implants, & Prosthodontics

 
 

Smile. Reborn.

For people with complex dental needs, we often find that by treating the underdeveloped jaws and misaligned teeth, we may help our patients enhance their smile, restore oral health, and improve their general well-being much more effectively.

As an expert in smile design and full mouth rehabilitation, Dr. Lin collaborates with certified orthodontists using aligners and conventional orthodontics to help develop jaws, align teeth, restore TMJ functions, and improve nasal breathing.

 

Interdisciplinary Patient Management

Aligners therapy - Dental implants - Ceramic Bridges and Crowns

Initial Presentation | Gummy Smile, Protruded Smile, & Narrow Arch

Initial Presentation | Chronic Mouth Opening

Initial Presentation | Failing Restorations & Cavities

Initial Presentation | Open Bite, Protruded Smile

 

Mid-treatment | Aligners Therapy

Mid-treatment | Remove Broken Tooth & Implant Placement

Mid-treatment | Implant Bridges & Ceramic Crowns

Mid-treatment | Implant Bridges & Ceramic Crowns

 

After | Full Smile

After | Profile Smile

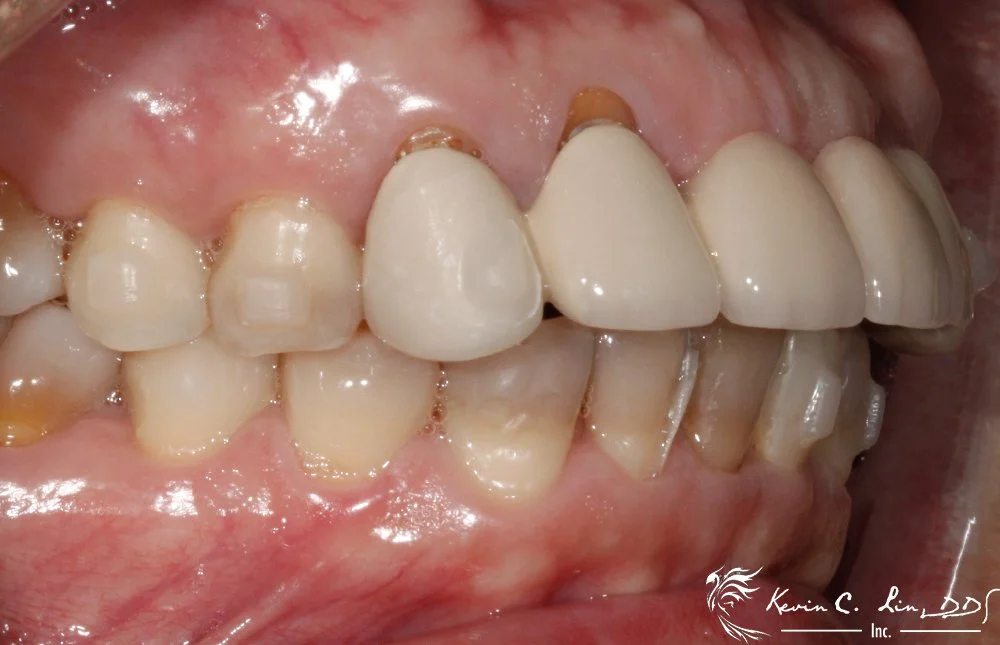
After | Ceramic Crowns and Bridges

After | Ceramic Crowns and Bridges

Short-term Aligners/Removable Expansion Appliances

As an expert in smile design and full mouth rehabilitation, Dr. Lin works with certified orthodontists and TMD specialists using short-term aligners and removable expanders to help develop jaws with the goals of aligning teeth, restoring TMJ functions, and improving nasal breathing.

 

Virtual Dental Monitoring

Reduce your office visits

Stay connected from the comfort of your home

- Dental Monitoring is a powerful technology that leverages the power of artificial intelligence (AI) and machine learning to optimize your aligner/short-term orthodontic treatment outcomes.

- The Dental Monitoring app allows you to maintain consistent contact with Dr. Lin and your orthodontist between appointments.